Died Suddenlyで示されたclotは一体何なのか?ドイツ病理学者ブルクハルト教授の研究、Part 1の続編です。オリジナルは、ハワード・スティーンによる一連のツイート。
Our 2nd & final thread in a review of key findings of pathologist Prof. Arne Burkhardt, a notable pioneer in the histological investigation of tissue/cell damage from the m-RNA injections. English subtitled video(s) and a transcript can be found here: https://t.co/uJl3TuLIJZ pic.twitter.com/tMmm2ZVei6
— Howard Steen (@HowardSteen4) December 4, 2022

m-RNA注射による組織・細胞障害の組織学的調査のパイオニアとして知られる病理学者アルネ・ブルクハルト教授の重要な発見をレビューする第2弾です。英語字幕付きビデオとトランスクリプトはこちらでご覧ください。
見逃した人のために、最初のスレッドはこちらです(訳注:オリジナルはツイッタースレッド)。なお、このスレッド以降、すべての翻訳に関する疑問はブルクハルト教授自身の好意により解決され、テキストには医学用語の定義が追加されています。
Died Suddenlyで示されたclotは一体何なのか?ドイツ病理学者ブルクハルト教授の研究、Part 1
これらのスレッドは、福島県会津大学気候科学部教授のサジ・ハミード(訳者による記事)氏との共同作業によるものです。ブルクハルト教授の発見の重要な側面の提示のための、彼の偉大な貢献と洞察に感謝します。

ブルクハルト教授は、1時間の講演の中に多くのデータを詰め込んでいます。しかし、時間の制約のため、議論は必然的に急ぎ足になり、部分的には十分な詳細を欠くことになります。そこで、ここでは、十分議論されているいくつかの観察に焦点を当てることにします。
好奇心旺盛な読者のために、ここでは組織学的解析について簡単に、かつ重点的に紹介します。必然的lに、我々の議論は、単純化された一般的なものです。もっと詳しく知りたい方は、以下のサイトが参考になります。
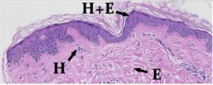
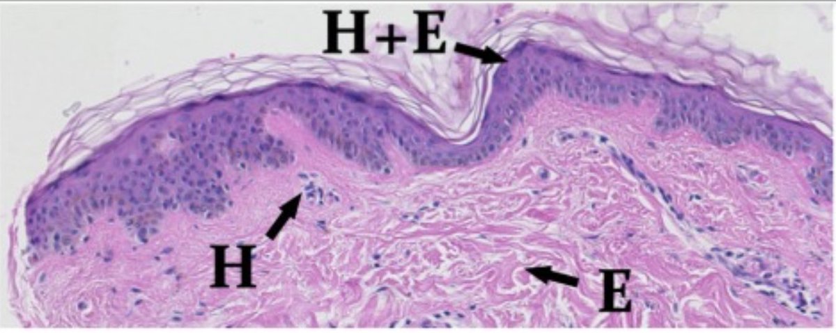
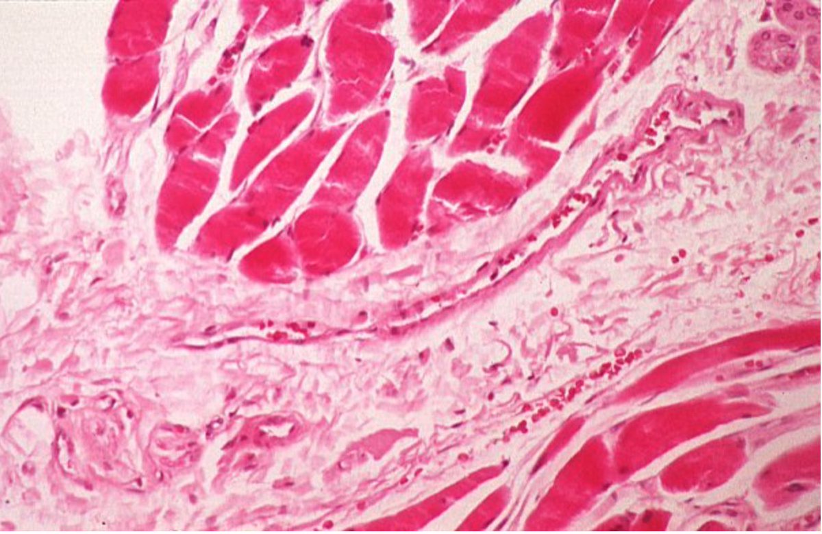
組織学的な分析では、細胞や組織のさまざまな部分を人工的に着色するための染色が行われます。よく使われる染色にH&Eがあります。Hはヘマトキシリンのことで、細胞の核を選択的に染める紫色の染料です。Eはエオシンという赤色の染料で、臓器のタンパク質を染めることができます。
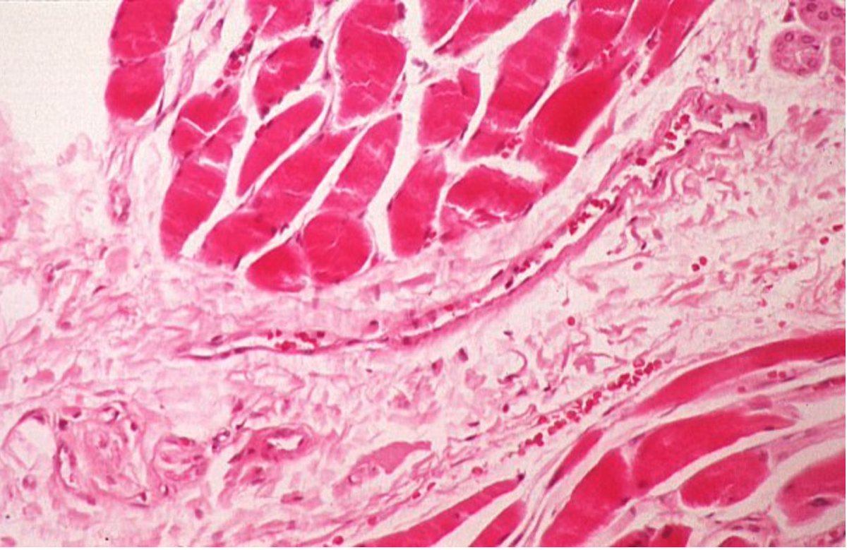
このページで、H&Eで染色した筋肉断面をご覧ください。
赤い部分には筋繊維の束があります。赤い部分の端にある、かろうじて見える(目を凝らさないと見えない)青や紫の細長い部分は、筋細胞という細胞の核です。これらの細胞は、筋肉を構成する繊維を合成します。
同じスライドにあるピンク色の部分は、一般的に細胞外マトリックス(ECM)と呼ばれます。多糖類(糖のポリマー)とコラーゲンやエラスチンなどのタンパク質繊維から構成されています。
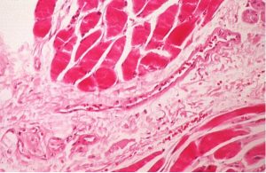
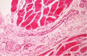
こちらは、ECMが、筋繊維の集団だけでなく、個々の筋繊維も取り囲んでいる様子です。興味のある方はこちらを参照ください。
https://www.biopathica.co.uk/documents/studies/Matrix_Heine.pdf
ところで、この図にはECMの領域に埋め込まれた静脈と神経も示されています。もし見えない場合は、こちらのラベル付きバージョンのスライドをご覧ください。
http://www.pathguy.com/histo/063z.jpg
ブルクハルト教授の重要な発見のひとつは、血管の弾性繊維と筋肉の損傷です。血管の損傷に関する彼の議論を理解するためには、正常な状態と異常な状態で血管がどのように見えるかを知る必要があります。
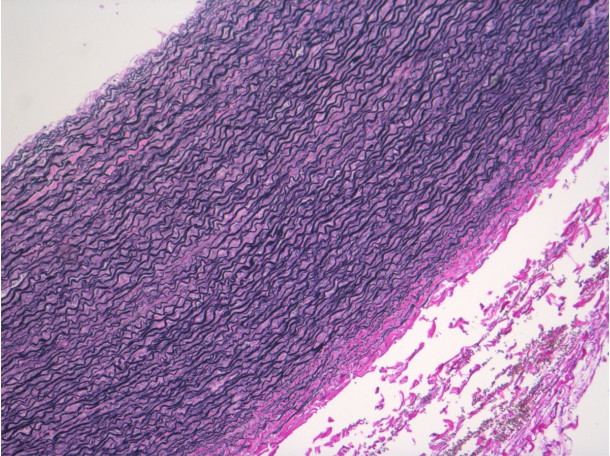
この写真は、エラスチンと呼ばれる染色剤を用いて人工的に着色した血管と神経の集合体です。
histology.siu.edu/crr/CR025b.htm
この染色は、試料中のさまざまな種類のタンパク質繊維についてのより詳細な情報を提供します。
エラスチンについてもっと知りたい場合は、以下を参照してください。
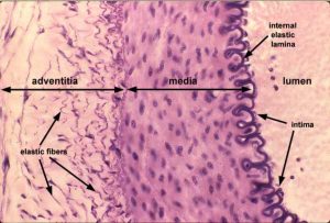
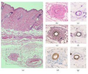
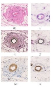
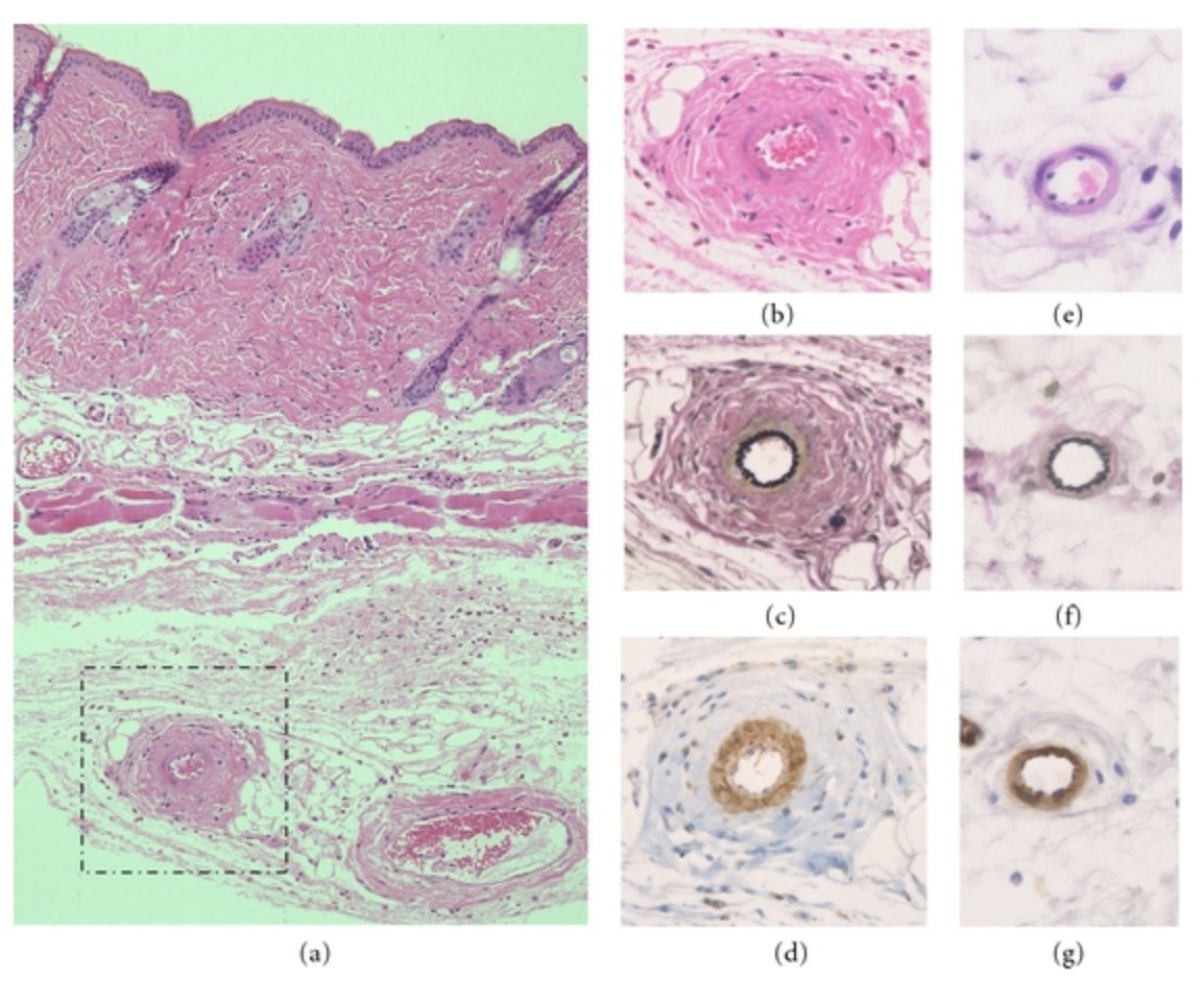
3つの層が動脈を取り囲んでいます。
https://histology.siu.edu/crr/CR023b.htm
中膜は、筋細胞の核が見える厚い紫色の層です。内膜(濃い紫色)と外膜(薄いピンク色)に挟まれています。この3層が動脈壁を形成しています。
重要な点としては、動脈の壁の厚さは、動脈の大きさに依存するということです。太い動脈は壁が厚く、動脈が分岐して細くなるにつれて壁は薄くなります。不釣り合いに壁が厚くなった動脈は、トラブルを知らせるものです。
抗がん剤のブレオマイシンのような毒素は動脈を損傷することがあります。
図では、真ん中の列が、この薬剤を注射したマウスの動脈壁が異常に厚くなっていることを示しています。
3つの列は、同じ動脈を3種類の染色液で人工的に着色したものです。損傷した動脈(左列)は、右端の列の正常な動脈と比較することができます。異常な肥厚は、細胞外マトリックスの損傷に関連しています。
ブルクハルトの大きな血管に関する主な所見は、大動脈の壁の質感が変化している例が多いという驚くべきものです。40例では、これらの変化が大動脈の「解離」(血管壁の層が引き裂かれること)に発展していました。5例では、解離が穿孔に発展していました。
これまで、このような血管壁のテクスチャーの変化は、luetica中皮炎やlathyrismといった病気に関連して医学界に知られていました。両疾患とも細胞外マトリックス(ECM)の変化が特徴です。ECMの構成としては…
多糖類とコラーゲンやエラスチンのようなタンパク質繊維で構成されています。これらの疾患では、繊維間の架橋が減少し、壁が弱くなったり分裂したりします。簡単に言えば、クロスリンクは棒の束をロープでつなぐような役割をしています。
ブルクハルト教授を批判する人々は、このようなメカニズムが起こっているという彼の主張には証拠がないと主張しました。しかし、彼は、まさにこの効果を示す100年以上前の組織学的スライドでそれを証明したのです。
症例31の大動脈解離では、動脈壁全体が破れていることがわかります。壁の一番大きな裂け目は写真の左下にあります。左上と右下にはさらに裂け目があり、その間に穴のようなものがあります。
この(対照とした)正常な動脈壁の写真では、エラスチン繊維は切れ目なくきれいに組織化されています。これを、壁のエラスチン繊維の損傷を強調する症例46の動脈壁の詳細なクローズアップと比較してみます。
ワクチン犠牲者のサンプルでは、弾性ラメラがところどころ破壊され、不連続性と断片化が生じている。ブルクハルトは、これらの断片が血流に乗り、ワクチン被害者の話題になっている血栓になっているのではないかとさえ考えている。
解剖と穿孔に加え(?)、動脈壁には筋肉と繊維の破壊を示す白い部分があり、これはCystic Medial Necrosis(CMN)と呼ばれる状態です。ブルクハルトが指摘するには、CMNには先天性のもあるが、リンパ球が浸潤していない状態であると言います。
「浸潤性」という形容詞は、リンパ球がその組織には属さないことを示唆しています。リンパ球は骨髄で生まれ、リンパ節、脾臓、胸腺に大量に存在します。ワクチンによるCMNでは、リンパ球の浸潤が認められます。
この動脈解離作用は、大動脈だけでなく、冠動脈、頸動脈、腎臓、脾臓、脳内の血管でも観察されることが、組織スライドで確認されています。
ブルクハルトが指摘するには、「『成人突然死症候群』という新しい医学用語が登場しても不思議はない」と言います。これは、体内の重要な臓器に酸素を豊富に含む血液を運ぶ大動脈系の破裂によるものだと説明できるのです。
彼の分析から得られたもう一つの顕著な特徴は、全身の非リンパ系器官で起こっている広範囲で集中的なリンパ球の浸潤です。例えば、胃の粘膜、心筋炎に伴う心臓、肺に見られるものです。
肺胞と間質(肺胞と肺胞の間の組織)、前立腺、精巣、そして歯の根の周りの組織にさえあります。
肺の間質では、リンパ球が浸潤した組織の中に、未知の性質の線維性沈着物を彼が発見しました。ブルクハルトは、この広範囲に及ぶ浸潤現象を説明するために、「Lymphocytes amok」という新しい用語を作って物議をかもしたほどです。
最後に、ブルクハルトは脳内の広範な損傷について述べています。彼は硬膜、くも膜、灰白質、および下垂体にそれを見つけました。脳炎とアミロイド物質の沈着がありました。
心配なのは、彼が検査したすべての脳に何らかの損傷が見つかったことです。
血栓と同様、今やマスコミのトピックになっています。

ブルクハルトの組織学的所見に関心を持つ素人や開業医にとって、本当に衝撃的なのは、全身に及ぶダメージであることです。例えば、自己免疫疾患の引き金となります。
そこで問題になるのが、「その毒物は何なのか」ということです。ブルクハルト教授が携わっている法医学では、どのような毒物が傷害や死をもたらしたかを体系的に調査する必要があり、法医学の仕事は、正義の実現を助ける結論を出すことです。
ブルクハルト教授と同僚たちは、今年4月に開催された第1回シンポジウムで、自分たちが考える有害物質の責任についての結論をすでに発表しています。我々は、彼らが一人ではなく、多くの学者や医療専門家と共に、発現したスパイク蛋白質であると言っていることに注目しています。
しかし、より単純な説明があると我々は考えます。誰もがワクチンの説明の一部として受け入れるようにされている「スパイク」の証拠とはなりにくい細胞生産に頼る必要のないものです。それは、帯電した有毒な脂質ナノ粒子そのものです。
2021年1月には早くも、細胞生物学者のVanessa Schmidt-Krüger博士から、ファイザー社製ワクチンに対するEMAの欠陥ある認可プロセスに関する2時間半の証拠を聞きました。これらの注射に含まれるカチオン性で有毒なLNPについて明確な警告がなされたのです。
Schmidt-Krüger博士は、ラットの前臨床試験で肝臓に損傷を与えたのはLNPであることをファイザー社が報告書で認めたと述べています。
さて、そのラットがヒトで起こることをよい予見であったとの証拠があるのです。
Now there is evidence that those rats were a good predictor of what would happen in humans:https://t.co/RwYakVnKUZ
…https://t.co/cV0NWTfJuX— Howard Steen (@HowardSteen4) December 5, 2022

我々は、因果関係についての科学的な議論がしっかりと継続されることを望んでおり、今後のスレッドで我々自身の更なる考えを共有したいと思います。その一方、ブルクハルト教授が置かれた困難な状況に注目し、他の利害関係者が抑圧しようとする情報を一般に公開し、故人の親族を助けるために最大限の努力をする彼の決意に敬服するものです。































コメント